Toggle navigation
PCR검사 거점병원
PCR검사 거점병원
검사센터소개
원장 인사말
의료진 소개
센터 안내
주요장비 소개
오시는 길
검사의뢰안내
검사의뢰방법
조직진단검사
세포진단검사
조직진단 결과의 이해
세포진단 결과의 이해
검사결과조회
고객센터
공지사항
자유게시판
검사의뢰안내
검사의뢰 방법
조직 진단검사
세포 진단검사
조직진단 결과의 이해
세포진단 결과의 이해
HOME / 검사의뢰안내 /
조직진단 결과
조직진단 결과
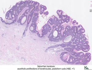
Seborrheic keratosis (지루각화증)
관리자
| 2020.11.05 | 조회 881
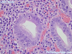
Verrucous cyst
관리자
| 2020.11.05 | 조회 824
Chronic active gastritis (만성 활동성 위염)
관리자
| 2020.11.04 | 조회 818
Gastritis, sydney classification (위염, 시드니 분류)
관리자
| 2020.11.04 | 조회 841
1
2
[ 3 ]
제목
내용
이름
검색